استخدم فريق من العلماء غرسة تُستزرع في العين لتحسين الإبصار لدى عشرات الأشخاص الذين صاروا عاجزين عن أداء وظائفهم اليومية بسبب الإصابة بالتنكس البقعي المرتبط بتقدم العمر. يبلغ سمك هذه الغرسة 30 ميكرومترًا فقط، وطولها وعرضها ملليمتران. وتُستزرع جراحيًا تحت الشبكية لتقوم بمقام الخلايا الحساسة للضوء التي دمرتها الإصابة بالتنكس البقعي المرتبط بتقدم العمر...
استخدم فريق من العلماء غرسة تُستزرع في العين لتحسين الإبصار لدى عشرات الأشخاص الذين صاروا عاجزين عن أداء وظائفهم اليومية بسبب الإصابة بالتنكس البقعي المرتبط بتقدم العمر. يبلغ سمك هذه الغرسة 30 ميكرومترًا فقط، وطولها وعرضها ملليمتران. وتُستزرع جراحيًا تحت الشبكية لتقوم بمقام الخلايا الحساسة للضوء التي دمرتها الإصابة بالتنكس البقعي المرتبط بتقدم العمر.
شارك في هذه التجربة الإكلينيكية التي استعرضتها مؤخرًا دورية «ذا نيو إنجلاند جورنال أوف ميديسن» The New England Joural of Medicine1 38 شخصًا طرأ تدهور شديد في الشبكية لديهم بسبب التنكس البقعي المرتبط بتقدم بالعمر. وبعد عام من استزراع الغرسة، تحسنت على نحو ملموس إكلينيكيًا القدرة على الإبصار لدى 80% من المشاركين.
حول هذه النتائج، يقول فرانك هولتز قائد الفريق البحثي وراء التجربة وهو اختصاصي طب عيون من جامعة بون في ألمانيا: "أُعيد الإبصار إلى شبكية العين الميتة بعد أن كانت نقطة عمياء في العين. وأمكن للمرضى المشاركين في التجربة قراءة أحرف وكلمات، واستعادة قدرتهم على أداء مهام الحياة اليومية".
ورغم بعض الآثار الجانبية الطفيفة المرتبطة بهذه الجراحة، رأى مجلس مراقبة أمان التجربة أن منافع الغرسة تفوق مخاطرها. وفي يونيو الماضي، تقدمت الجهة المالكة لهذه التقنية - شركة تقنيات الخلايا العصبية «ساينس كوربوريشن» Science Corporation - بطلب بالحصول على ترخيص يسمح لها ببيع الغرسة في السوق الأوروبية.
في هذا الإطار، تقول فرانشيسكا كورديرو اختصاصية طب العيون من كلية إمبريال كوليدج لندن: "أعتقد أنها دراسة مثيرة للاهتمام وجديرة بالاعتبار، وجيدة التصميم، خضعت لتحليل محكم. وهي تبشر بإعادة القدرة على الإبصار بين مرضى كانت استعادة الرؤية بالنسبة لهم أقرب إلى الخيال العلمي منها إلى الواقع".
استعادة للإبصار
التنكس البقعي المُرتبط بتقدُم العمر هو أحد أشكال العمى العضال في كبار السن. وثمة نوعان رئيسيان منه، هما: التنكس البقعي الرطب والجاف. وقد تناولت الدراسة محل النظر المصابين بالتنكس القعي الجاف، والذي يصيب الشكل المتقدم منه نحو 5 ملايين شخص على مستوى العالم. وفي هذا النوع من التنكس البقعي المرتبط بتقدم العمر، تموت خلايا مركز الشبكية الحساسة للضوء على مدى أعوام، تاركة المصابين بالمرض برؤية سليمة للأشياء على أطراف مجال الرؤية لكن تسلبهم حدة إبصار الأشياء في مركز هذا المجال، ما يوضحه هولتز قائلًا: "لا يمكن لهؤلاء المرضى تمييز الوجوه أو القراءة أو قيادة السيارات أو مشاهدة التلفاز".
وهذه الخلايا الحساسة للضوء التي تموت (وهي خلايا عصوية ومخروطية الشكل) مسؤولة عن تحويل الضوء إلى إشارات كهروكيميائية، تُنقل إلى أنواع أخرى من الخلايا العصبية التي تبعث بعدئذ رسائل إلى مراكز معالجة المعلومات البصرية في الدماغ. وبالنظر إلى أن بعض الخلايا العصبية في الشبكية تنجو من التنكس البقعي المرتبط بالتقدم بالعمر، رأى علماء أن استزراع غرسة حساسة للضوء تُحفز كهربيًا الشبكية وفق نمط اصطدام الفوتونات بها قد تعيد الإحساس بالرؤية.
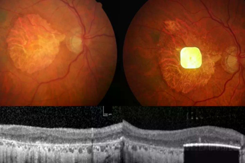
وهذه الغرسة، التي أُطلق عليها اسم «بريما» PRIMA، اختصارًا للمصفوفة الفولطية الضوئية الدقيقة المستزرعة في الشبكية، طورتها بالأساس شركة «بيكسيوم» Pixium الكائنة في باريس، والتي استحوذت عليها شركة «ساينس كوربوريشن» العام الماضي. وهي غرسة لاسلكية، بعكس الأجهزة السابقة لعلاج الشبكية. ويعني كونها غرسة فولطية ضوئية، أن الفوتونات التي تُنشطها تشكل أيضًا مصدر الطاقة اللازم لتوليد الخرج الكهربي بها.
وتُستخدم الغرسة مع نظارة مزودة بكاميرا تلتقط الصور، وتحيلها إلى أنماط من الأشعة تحت الحمراء، ترسلها النظارة إلى غرسة الشبكية. وهذا النظام الذي يسمح للمستخدمين بتكبير صور الأشياء وتصغيرها، وضبط درجة التباين اللوني والسطوع يتطلب إتقان استخدامه تمامًا شهورًا من التدريب المكثف.
وفي الدراسة محل النظر، عولج 38 شخصًا في 17 موقعًا إكلينيكيًا في 5 دول مختلفة من القارة الأوروبية، خضع منهم 32 مشاركًا للفحوص بعد عام من الجراحة. ومن بين هؤلاء، بلغ عدد من تحسن لديهم الإبصار بدرجة ملموسة إكلينيكيًا 26 شخصًا، وهذا يعني في المتوسط القدرة على إبصار صفين من الأحرف في فحوص النظر القياسية. وإجمالًا، اقتربت حدة الإبصار لدى أغلب المشاركين من حدة الإبصار القصوى التي يُمكن الوصول إليها بالغرسة.
وبحلول نهاية الدراسة، كان أغلب من تلقوا الغرسة يستخدمون الأداة «بريما» في المنزل لقراءة الأحرف والكلمات والأرقام. ومن بين المشاركين الذين خضعوا لفحص بعد عام من الجراحة، وعددهم 32 شخصًا، أفاد 22 منهم بأن مستوى رضاهم عن الأداة يتراوح ما بين المتوسط والمرتفع.
تجربة قراءة غير سلسة
رغم ذلك، لم يظهر استبيان حول جودة الحياة اليومية لمستخدمي الأداة إلا تحسنًا لا يُذكر في جودة حياتهم إجمالًا. وفي تصريح لدورية Nature، أعرب باحث في مجال أمراض تنكس الشبكية ممن يعملون على اكتشاف علاجات لفقدان البصر (طلب عدم الإفصاح عن هويته لتلافي معاقبته) عن مخاوفه من أن يكون التحسن الذي أظهرته الفحوص قد نتج عن تدريب بصري مكثف وتشجيع على تلقي جهاز طبي يثير الحماس بشأنه. وأضاف أن نتائج الفحوص كانت لتُعد محكمة بدرجة أكبر إن أظهرت مكاسب بالمقارنة مع مجموعة عشوائية من المشاركين تتلقى عقارًا مموهًا وتحصل على النظارة وتُدرب على بروتوكولات استخدامها لكن دون تلقي الغرسة.
ويقر هولتز بدوره بأن نظام الدراسة الحالي يعتريه قصور، لكنه يتوقع أن تغدو الغرسات مستقبلًا أكثر فاعلية؛ فيقول: "هذا الإنجاز البارز هو نقطة انطلاق لمزيد من التطوير".
ومن المخاوف أيضًا بشأن الأداة حد الإبصار القصوى التي تتيحها حاليًا. فالنظام «بريما» لا يتمتع إلا بـ381 بكسلًا، كل منها يغطي 100 ميكرومتر فقط. ويقر هولتز ببطء القراءة بالأداة، وبأن تجربة القراءة التي تتيحها للمستخدمين "لا تتسم بالسرعة أو السلاسة". كما أن الرؤية التي تتيحها بالأبيض والأسود وليس بالألوان.
في هذا الإطار، يفيد هولتز بأن دانيال بالينكر، اختصاصي الفيزياء من جامعة ستانفورد في مدينة بالو ألتو بولاية كاليفورنيا الأمريكية، وهو من صمم بالأساس الأداة، لديه أفكار حول كيفية تحقيق رؤية بالألوان ذات يوم بها. ويُتوقع أن الجيل القادم من الأداة والذي سيكون أكبر حجمًا من «بريما»، ويحتوي على بكسلات أصغر حجمًا سيتيح حدة إبصار أفضل؛ فهذه "بداية رحلة"، بتعبير هولتز.
ورغم أن الأداة اختُبرت كفاءتها بين المصابين بالتنكُس البقعي المرتبط بتقدم العمر، فهي قد تُساعد أيضًا في استعادة الإبصار بين المصابين بحالات مرضية أخرى تموت فيها الخلايا المستقبلة للضوء، لكن تبقى الخلايا العصبية بالشبكية قادرة على أداء وظيفتها، مثل التهاب الشبكية الصباغي.
غير أن الغرسات المستزرعة في الشبكية ليست الوسيلة الوحيدة التي يجري تطويرها لعلاج هذه المشكلة. فتستكشف دراسات أخرى مدى فاعلية استخدام العلاجات القائمة على الخلايا الجذعية المجددة للخلايا المستقبلة للضوء، والعلاجات القائمة على الهندسة الوراثية البصرية (حيث تضاف بروتينات حساسة للضوء إلى خلايا الشبكية التي صمدت على قيد الحياة)، بالإضافة إلى الغرسات التي تُزرع في القشرة البصرية بالدماغ (منطقة لمعالجة المعلومات البصرية).
ختامًا، يقول هولتز: "إنه لفضاء شاسع ودينامي، فثمة الكثير من المقاربات المستخدمة في الوقت الحالي. وما من أحد يعلم أيها سيكلل بالنجاح".



اضف تعليق